Estética Dental
🔥 Tendencia 2026

Carillas de Resina: La Tendencia Estética del 2026 para Transformar tu Sonrisa en 24 Horas

20 de Noviembre, 2025
7 min de lectura
Dr. Aulik M.

Las carillas dentales de resina son la solución estética más rápida y accesible del 2026 en Cancún. Transforma tu sonrisa en una sola cita corrigiendo manchas, dientes separados, desgaste dental y forma irregular. Procedimiento mínimamente invasivo, sin dolor y resultados instantáneos que duran años.

A realistic comparison of a woman's smile before and after professional teeth whitening treatment

✨ Transformación en 24 Horas

¿Qué son las Carillas de Resina?

Las carillas de resina o carillas de composite son láminas delgadas de material dental que se aplican sobre la superficie de tus dientes para mejorar su apariencia. A diferencia de las carillas de porcelana, las de resina se pueden colocar en una sola sesión y son más accesibles económicamente.

Ventajas Principales

  • Resultados en 24 horas
  • Mínimamente invasivo
  • Más accesible que porcelana
  • Fácil de reparar si es necesario
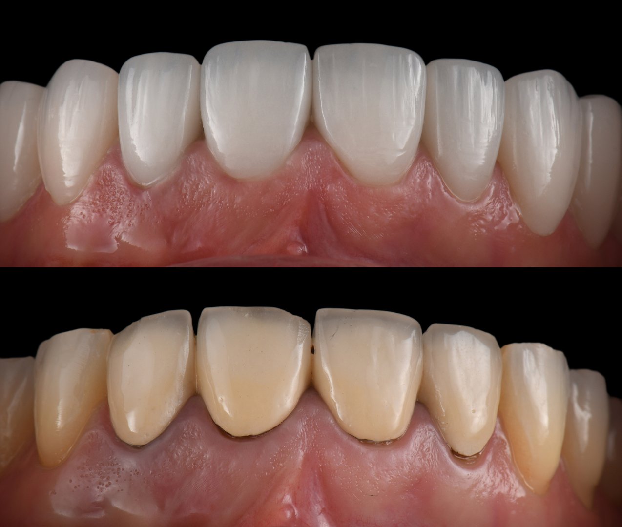
emax ceramic veneers

Beneficios de las Carillas de Resina en Cancún

1

Transformación Instantánea

Sal de la clínica con una sonrisa completamente renovada en solo una cita. Sin esperas ni moldes.

2

Corrige Múltiples Problemas

Manchas, dientes separados, desgaste, fracturas y forma irregular en un solo procedimiento.

3

Sin Dolor ni Anestesia

Procedimiento cómodo y mínimamente invasivo, generalmente sin necesidad de anestesia local.

4

Resultados Duraderos

Con el cuidado adecuado, pueden durar de 5 a 10 años manteniendo su brillo natural.

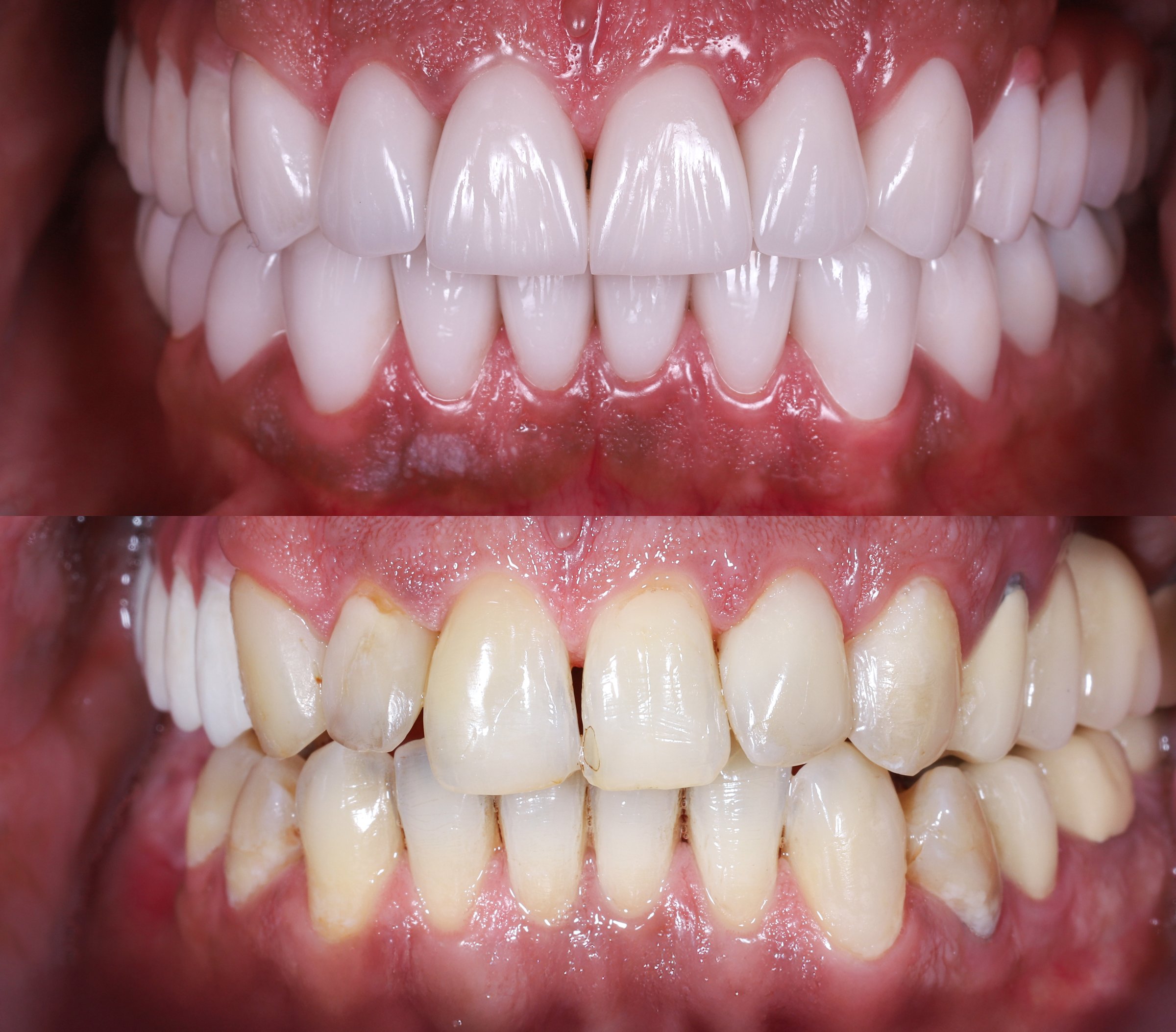
emax ceramic veneers before and after picture

¿Listo para Transformar tu Sonrisa en 24 Horas?

Las carillas de resina son la solución perfecta si buscas resultados rápidos, naturales y asequibles en Cancún. Nuestros especialistas en estética dental te ayudarán a diseñar la sonrisa que siempre has soñado.